티스토리 뷰
클라인펠터 증후군 원인 및 증상 치료
클라인펠터 증후군은 성염색체 이상으로 인한 질환으로, 주로 남성에서 발견됩니다. 이 증후군은 추가적인 X 염색체의 존재로 인해 발생하며, 주로 고환 발달의 부족, 남성형 유방증(여유증) 등의 임상 증상이 나타납니다. 클라인펠터 증후군의 원인과 증상 등에 대해 알아보겠습니다.

클라인펠터 증후군 뜻
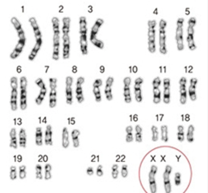
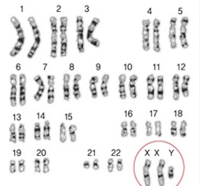
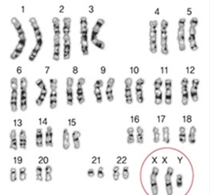
클라인펠터 증후군은 남성에서 발견되는 유전적 질환으로, 일반적으로 남성이 하나의 X 염색체와 하나의 Y 염색체를 가지는 것과 달리, 추가적인 X 염색체를 가짐으로써 발생합니다. 즉, 대부분의 클라인펠터 증후군 환자는 XXY 염색체 패턴을 가지고 있습니다.
클라인펠터 증후군의 증상은 다양하며, 대체로 사춘기 이후에 더욱 명확하게 나타납니다. 주요 증상으로는 작은 고환, 낮은 테스토스테론 수치, 감소된 근육량 및 힘, 증가된 유방 조직, 저체모, 그리고 불임 등이 있습니다. 또한, 학습 장애나 언어 발달 지연과 같은 인지적 특성이 나타날 수 있으며, 사회적, 정서적 문제를 겪을 수도 있습니다.
이 증후군은 태아기 때부터 존재하지만, 대부분의 경우 사춘기 이후나 성인기에 진단됩니다. 클라인펠터 증후군의 정확한 원인은 알려져 있지 않지만, 나이가 많은 아버지에서 자녀를 가질 때 발생 확률이 높아질 수 있습니다.
클라인펠터 증후군 원인
클라인펠터 증후군은 남성에서 발견되는 염색체 이상으로 인한 유전적 장애입니다. 이 장애의 원인은 남성의 성 염색체에서 비정상적인 복제가 일어나는 것에 있습니다. 일반적으로 남성은 하나의 X 염색체와 하나의 Y 염색체를 가지고 있으나, 클라인펠터 증후군을 가진 남성은 추가적인 X 염색체를 하나 더 가지고 있습니다. 즉, 그들의 염색체 구성은 XXY가 됩니다.

클라인펠터 증후군은 대개 출생 시에는 발견되지 않으며, 성장 과정 중 또는 성인이 된 후에 진단되는 경우가 많습니다. 이 장애는 성장 지연, 학습 장애, 그리고 생식 기능에 영향을 미칠 수 있습니다. 특히, 낮은 테스토스테론 수치로 인해 남성적 특징의 발달이 덜 되거나 불임이 발생할 수 있습니다.
이 염색체 이상은 수정된 난자나 정자의 형성 과정 중에 발생합니다. 부모의 나이가 많을수록 이러한 유전적 변이가 일어날 확률이 높아집니다. 그러나 대부분의 경우, 클라인펠터 증후군은 가족력이나 유전적 요인과는 관련이 없는 것으로 알려져 있습니다.
클라인펠터 증후군 증상
클라인펠터 증후군은 다양한 증상을 동반하는 질환으로, 여성형 유방, 작은 고환, 불임, 키가 크고 팔다리가 긴 체형, 생식샘 저하증 등이 특징적으로 나타납니다. 이 질환은 또한 지능 발달에 영향을 줄 수 있으며, 이로 인해 이해력 부족, 집중력 저하, 판단 능력 부족, 학습 장애, 언어 장애 등이 발생할 수 있습니다.
이외에도 클라인펠터 증후군 환자들은 일반 남성에 비해 갑상샘 저하증, 당뇨병, 골다공증, 만성 폐 질환, 유방 종양, 척추측만증 등의 다양한 건강 문제를 겪을 위험이 더 높다고 알려져 있습니다. 이러한 증상들은 개인마다 다르게 나타날 수 있으며, 적절한 의학적 진단과 치료를 통해 관리가 가능합니다.
클라인펠터 증후군 치료
클라인펠터 증후군의 치료는 증상에 따라 다르지만, 테스토스테론 대체 요법이 일반적입니다.
남성 호르몬은 남성의 뼈와 근육 형성, 성욕 촉진, 체지방 분해 등에 중요한 역할을 하는데, 클라인펠터 증후군 환자에서는 남성 호르몬이 부족하기 때문에, 2차 성징 이후에 정기적으로 남성 호르몬 주사를 맞아 호르몬 수준을 보충하는 치료가 필요합니다.
여성형 유방증의 경우, 가슴 축소 성형 수술과 같은 방법으로 치료를 진행하기도 합니다. 클라인펠터 증후군 환자에서 여유증이 발생한 경우, 일반 남성보다 남성 유방암 발병률이 약 50배 높기 때문에, 유방 제거 수술을 고려하는 것이 도움이 될 수 있습니다.
또한, 언어 치료, 직업 치료, 심리 치료 등을 통해 학습 및 발달 문제를 지원합니다. 불임 문제는 생식 전문의와 상담 후 적절한 조치를 취할 수 있습니다.
'건강 > 건강정보' 카테고리의 다른 글
| 손가락, 손저림 증상과 원인 손이 저린이유 (0) | 2023.11.15 |
|---|---|
| 감기에 좋은 쌍화탕 쌍화차 효능과 성분 재료 추천 만드는 방법 (0) | 2023.11.15 |
| 결명자차와 결명자 효능 12가지와 부작용 (0) | 2023.11.14 |
| 중국 황실의 차 보이차의 효능 효과 부작용 (0) | 2023.11.14 |
| 환절기 필수 감기에 좋은 생강 효능과 부작용 (0) | 2023.11.13 |